Considere a imagem a seguir.
(Arquivo pessoal; imagens usadas com autorização)
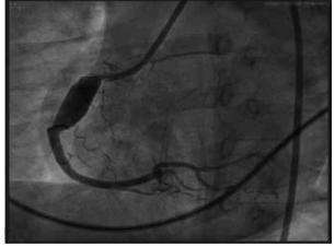
Essa é uma angiocoronariografia realizada por um paciente. Assinale a alternativa que indica, corretamente, qual é o diagnóstico etiológico e qual é o tratamento que deveria ser instituído na suspeita diagnóstica.
(Arquivo pessoal; imagens usadas com autorização)
Essa é uma angiocoronariografia realizada por um paciente. Assinale a alternativa que indica, corretamente, qual é o diagnóstico etiológico e qual é o tratamento que deveria ser instituído na suspeita diagnóstica.