Magna Concursos
3405897 Ano: 2021
Disciplina: Odontologia
Banca: CETREDE
Orgão: Pref. Paraipaba-CE
Provas:

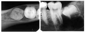
Observe a radiografia a seguir.

Enunciado 3520529-1

Qual das alternativas a seguir descreve o nome da técnica utilizada na imagem de radiografia, para a localização, vestíbulo-lingual de terceiros molares inclusos? É a técnica

 

Provas

Questão presente nas seguintes provas

Técnico de Saúde Bucal

60 Questões