Magna Concursos
3547289 Ano: 2023
Disciplina: Medicina
Banca: VUNESP
Orgão: Pref. Taubaté-SP
Provas:

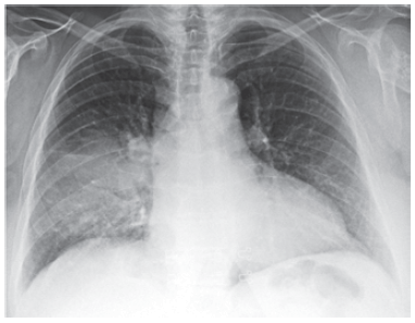
Mulher de 42 anos, sem comorbidades, apresenta quadro de 3 dias de anorexia, prostração, febre e tosse. Não há espirros, rinorreia ou disfonia. Ela nega tabagismo, etilismo e uso de drogas. Exame físico: temperatura: 38,5 ºC; frequência respiratória: 18 ipm; pressão arterial: 120 x 80; frequência cardíaca: 95 bpm; oximetria de pulso com saturação de 97%; ausculta pulmonar com crepitações em metade de hemitórax direito. Teste rápido de COVID e influenza são negativos. A radiografia de tórax realizada é mostrada a seguir.

Enunciado 3636434-1

Com os dados descritos, é correto afirmar:

 

Provas

Questão presente nas seguintes provas

Médico

40 Questões