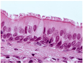
tecido epitelial é caracterizado por possuir pouca quantidade de material intercelular, apresentando, portanto, células justapostas. Sabendo que a imagem a seguir representa um tipo de tecido epitelial retirado do trato respiratório, podemos classificá-lo, segundo a forma e o arranjo, como:

(http://mol.icb.usp.br/wp-content/uploads/2-28.jpg Data de acesso: 11 de abril de 2019)