
Acervo pessoal.
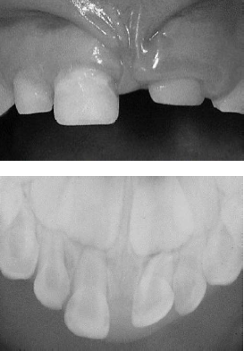
Com base nas imagens apresentadas e considerando os aspectos clínico e radiográfico de uma criança de 4 anos de idade, 20 dias após luxação intrusiva completa, julgue os itens a seguir.
A técnica radiográfica de escolha para traumatismos em dentes decíduos anteriores é a tomada oclusal modificada com o filme periapical adulto, podendo haver complementação com a tomada lateral com filme periapical adulto ou oclusal em caso de luxação intrusiva.
Provas
Questão presente nas seguintes provas