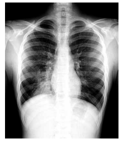
Mulher, 32 anos, refere que foi madrinha em um casamento há 3 dias e que dançou a noite inteira na festa. Após 48 horas, passou a apresentar dor muscular, febre de até 38ºC e dor ventilatório-dependente em hemitórax D. Nega uso de medicamentos nos últimos seis meses. Exame físico: paciente febril, 37,9 ºC, em bom estado geral; FC = 92 bpm; FR = 18 ipm; SpO2 em ar ambiente = 96%; PA 100 x 60 mmHg; ausculta cardíaca normal; ausculta pulmonar presença de estertores subcrepitantes em base pulmonar D. Foi realizada radiografia de tórax que está ilustrada a seguir.

Assinale a alternativa com a opção terapêutica correta.