Magna Concursos
3050752 Ano: 2023
Disciplina: Radiologia
Banca: DIRENS Aeronáutica
Orgão: CIAAR
Provas:

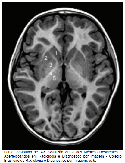
Analise a imagem abaixo.

Enunciado 3479490-1

Marque a opção em que as estruturas indicadas nessa imagem estão corretamente nomeadas.

 

Provas

Questão presente nas seguintes provas

CAMAR - Medicina/Radiologia

60 Questões