Magna Concursos
1691539 Ano: 2016
Disciplina: Odontologia
Banca: IADES
Orgão: FEPECS
Provas:

Enunciado 1691539-1

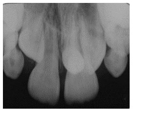
Uma criança de oito anos de idade foi ao dentista, pela primeira vez, para consulta de rotina. Mediante análise do exame radiográfico periapical dos dentes anterossuperiores, encontrou-se um mesiodens. Considerando essa situação e a(s) técnica(s) de localização radiográfica, julgue os itens a seguir.

Em função da idade do paciente, pode ser suspenso o uso do avental plumbífero e do colar protetor de tireoide para exame radiográfico, uma vez que já não há mais células jovens e em mitose nesse caso.
 

Provas

Questão presente nas seguintes provas

Residência em Odontologia

120 Questões