Magna Concursos
2936560 Ano: 2023
Disciplina: Radiologia
Banca: Consulplan
Orgão: SES-PA
Provas:

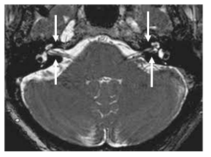
Observe a imagem a seguir:



Enunciado 3265616-1



É possível afirmar que trata-se do seguinte exame:

 

Provas

Questão presente nas seguintes provas

Técnico de Radiologia

50 Questões