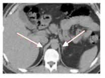
Na radiologia do sistema geniturinário, apresentam-se como duas pequenas massas em forma de Y ou V invertido e se localizam acima dos polos superiores dos dois rins, conforme a imagem abaixo.

Com base no enunciado e na imagem acima, é correto afirmar que se trata de