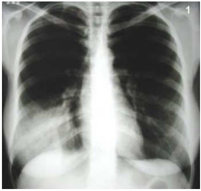
Mulher, 70 anos, é trazida por familiares à emergência com história de cinco dias de tosse seca e três dias de queda do apetite e apatia intensa. Tem história de insuficiência cardíaca congestiva. Apresenta-se alerta, sem taquidispneia e SpO2: 96% em ar ambiente. Normotensa e afebril. Ausculta cardíaca com ritmo regular em 2 tempos e Fc: 90 bpm. Ausculta respiratória com crepitações bibasais mais intensas, à direita. O hemograma não mostra anemia, nem plaquetopenia e leucograma com 12.000/mm3 sem desvios. Proteína C reativa 6,0 (normal até 0,5), Glicemia 110 mg/dl, Ureia de 40 mg/dl , Creatinina 0,8 mg/dl, Sódio 133 mEq/L, Potássio 3,9 mEq/L Swab nasal com painel viral negativo (SARS-Cov 2, Influenza, VSR e Rinovírus). A radiografia de tórax em PA é mostrada na figura abaixo.

Neste contexto, e considerando o diagnóstico mais provável, a abordagem de escolha para essa paciente seria: