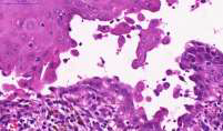
É necessário que o dermatologista tenha conhecimento em dermatopatologia, pois, nos casos mais desafiadores, a descrição do exame anatomopatológico pode trazer elementos que facilitam a definição do diagnóstico pelo dermatologista. Sobre a imagem abaixo, assinale a alternativa correta.
