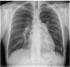
Um homem de 62 anos de idade, previamente hipertenso, refere que estava compensado e assintomático quando começou, há cinco meses, com dispneia aos esforços, após uma sensação de opressão no tórax, que melhorava parcialmente com o repouso e que perdurou cerca de cinco dias. Ele não procurou o serviço médico na época. Nega tosse, expectoração ou chiado. Nega tabagismo. Exame físico: PA de 140 x 76 mmHg; FC de 86 bpm; e saturação de O2 (ar ambiente) de 91%. Ausculta cardíaca: hiperfonese e desdobramento de segunda bulha em foco pulmonar. Turgência jugular bilateral. Presença de estertores bibasais e de edema de membros inferiores. Exames laboratoriais: hemoglobina 12,2 g/dL; leucócitos 8.500/mm3; e plaquetas 152.000/mm3. Realizou, também, a radiografia de tórax reproduzida a seguir.

Com base nesse caso hipotético, é correto afirmar que o exame indicado para se iniciar a investigação da dispneia do paciente é o(a)