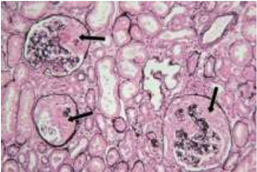
Menina de 6 anos de idade, previamente hígida, apresenta febre, mal-estar, dor abdominal e vômitos. Referia episódios febris recorrentes autolimitados, iniciados há 6 meses, associados a queda do estado geral e sintomas de vias aéreas superiores (resfriado, sinusite) ou gastrointestinais (vômitos, diarreia), além de perda de peso no período. Exame físico: sem apresentava nenhuma alteração. Exames laboratoriais: creatinina 1mg/dL (TFGe Schwartz 60ml/min/1.73m2), ureia 45mg/dL, ANCA-Mieoperoxidade 39 (VR <5), urina 1 com acantócitos e codócitos, hemácias incontáveis, Índice proteinúria/creatininúria amostra isolada (P/C) de 6,7, complemento e sorologias dentro da normalidade. Foi Realizada biópsia renal percutânea guiada por US renal (imagem), com Imunofluorescência negativa.

(Arquivo Uptodate)
Assinale a alternativa que apresenta corretamente o provável diagnóstico e a melhor conduta no caso