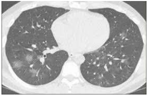
Um homem de 64 anos de idade, diabético, em uso regular de suas medicações, procurou um pronto-socorro na cidade de São Paulo no dia 24 de junho de 2020, referindo que, há seis dias, vinha com dor de garganta e diarreia, sendo que, há três dias, iniciou tosse seca. Ao ser questionado pelo médico, ainda relatou que teve perda de apetite dois dias antes do início dos sintomas. O paciente levou consigo hemograma e urina tipo 1 de uma passagem que tivera, há dois dias, em outro serviço médico, com resultados normais. Negou tabagismo, etilismo ou exposição a trabalhos que, ao longo da vida, pudessem ter desencadeado doenças profissionais. Ao exame físico, apresentava bom nível de consciência,saturação de O2 de 85% em ar ambiente e de 97% com cateter de O2 2L/min., FC de 95 bpm, 37,8 ⁰C de temperatura, PA de 145 x 90 mmHg, FR de 18 irpm, obesidade grau II e encontrava-se prostrado, desidratado, corado, anictérico e com movimentos respiratórios amplos. Aparelho cardiovascular com bulhas rítmicas, sem sopro, e tempo de enchimento capilar igual a 4 s. Aparelho respiratório com murmúrio vesicular difuso mais evidente em bases pulmonares, bilateralmente. Som pulmonar claro. Abdome com hiperdinamia à ausculta, ausência de massas à palpação superficial e profunda e dor difusa discreta. Exames atuais com Hb 16, Ht 54, leucócitos 12.000 (73% neutrófilos e 25% linfócitos), plaquetas 285.000, Na 158, K 2.5, Mg 1.9, ureia 80 e creatinina 2.5. Gasometria em ar ambiente com pH 7.3, PaO2 58 mmHg, PaCO2 40 mmHg, BE –4, lactato arterial 1.25, bicarbonato 17, CPK 350, ALT 70 e AST 60. Urina I com densidade 1.030, proteína +++, glicose +++, leucócitos 250.000 e eritrócitos 500.000. Realizou, também, a tomografia de tórax mostrada a seguir.

Com base nessa situação hipotética, assinale a alternativa correta quanto à conduta mais segura para o paciente.