Magna Concursos
2909203 Ano: 2022
Disciplina: Medicina
Banca: VUNESP
Orgão: Pref. Guaratinguetá-SP
Provas:

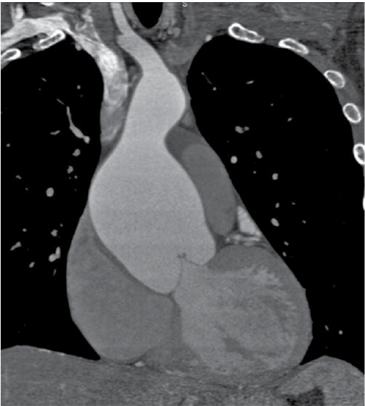
Homem, de 35 anos, apresenta quadro de dor nas costas sendo submetido ao exame mostrado a seguir.

Enunciado 3194801-1

Nesse sentido, é correto afirmar que

 

Provas

Questão presente nas seguintes provas

Médico - Clínica Geral

60 Questões