INSTRUÇÃO: Analise a imagem a seguir para responder à questão 07:

Disponível em: <http://bancodeimagensorl.com.br/2017/01/13>. Acesso em: 2 set. 2019.
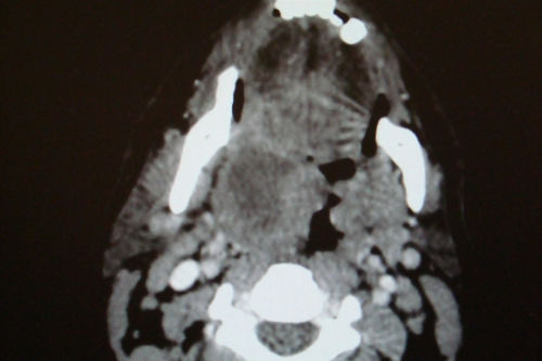
Paciente masculino, 20 anos, dá entrada no pronto-socorro, relatando odinofagia unilateral intensa, com irradiação para orelha ipsilateral, febre 39 graus, limitação à abertura bucal, voz anasalada, mas eupneico, estado geral preservado, pulsos cheios e simétricos, normotenso. Quadro com cinco dias de evolução e está em D4 de amoxicilina. Apresenta a tomografia acima.
Sobre esse relato, podemos afirmar: