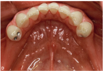
Paciente DMDV com 73 anos de idade, leucoderma, sexo feminino, compareceu à clínica odontológica para confecção de prótese total superior e uma prótese parcial inferior. O cirurgião-dentista fotografou o caso clínico para facilitar o planejamento da estrutura metálica. Observe a imagem ao lado.

Fonte: VERGANI, Carlos E.; PAVARINA, Ana C.; JORGE, Janaina H. et al. Reabilitação oral com prótese parcial removível convencional: guia prático. Barueri: Editora Manole, 2021.
Avalie as afirmativas a seguir, considerando o caso clínico apresentado.