Magna Concursos
3468303 Ano: 2024
Disciplina: Odontologia
Banca: Verbena
Orgão: Pref. Padre Bernardo-GO
Provas:

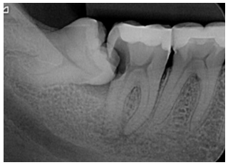
Analise a imagem a seguir.

Enunciado 4031591-1

O nome e a principal indicação desse exame radiográfico são, respectivamente:

 

Provas

Questão presente nas seguintes provas

Auxiliar de Saúde Bucal

50 Questões