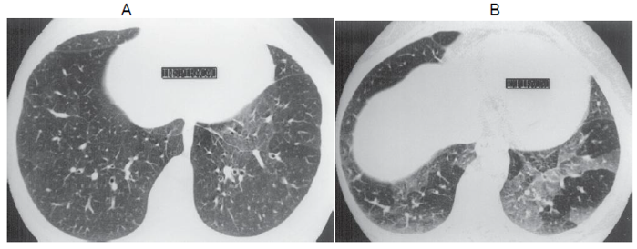
Analise as imagens abaixo, de uma mesma paciente, e asinale a opção com a patologia que melhor as representam
a) Imagem em inspiração revela discreta atenuação em mosaico. B) Imagem em expiração mostra melhor as anormalidades.

Analise as imagens abaixo, de uma mesma paciente, e asinale a opção com a patologia que melhor as representam
a) Imagem em inspiração revela discreta atenuação em mosaico. B) Imagem em expiração mostra melhor as anormalidades.
