Magna Concursos
3049271 Ano: 2024
Disciplina: Medicina
Banca: FUNCERN
Orgão: IF-RN
Provas:

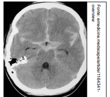
Um médico está atendendo Laura, estudante que retorna às aulas após internação recente em UTI por acidente vascular cerebral (AVC). No relatório de alta, consta que ela apresentou AVC tipo Hemorragia Subaracnoide Aneurismática, e há uma cópia da tomografia computadorizada de crânio, sem contraste, realizada pela paciente na admissão. A imagem que melhor corresponde ao achado do exame de imagem de Laura é:

 

Provas

Questão presente nas seguintes provas

Médico - Clínica Geral

40 Questões