Magna Concursos
3368295 Ano: 2024
Disciplina: Radiologia
Banca: DIRENS Aeronáutica
Orgão: CIAAR
Provas:

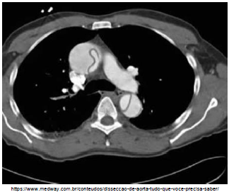
Analise a imagem a seguir.

Enunciado 3843188-1

Essa dissecção apresentada na imagem acima é tipo

 

Provas

Questão presente nas seguintes provas

CAMAR - Medicina/Radiologia

60 Questões