Analise o caso e responda à questão.
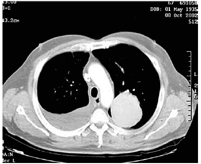
Paciente do sexo masculino, 45 anos, procura ambulatório de clínica médica relatando que há dois meses iniciou quadro de dor em hemitórax direito que piorava com a inspiração profunda. Essa dor diminuiu gradualmente ao mesmo tempo que surgiram episódios de febre baixa (37,9 oC) sempre no final da tarde. Relata emagrecimento de 9 kg nesse período. Tabagista 40 anos/maço. Nega antecedentes mórbidos pessoais ou contato com pessoas doentes. Após exame físico, o médico solicita uma tomografia computadorizada de tórax que está apresentada a seguir.

A principal hipótese diagnóstica é:
Provas
Questão presente nas seguintes provas