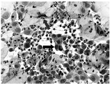
Nas questões de números 46 a 60, assinale a alternativa que melhor corresponde ao diagnóstico do quadro microscópico apresentado.
Metaplasia escamosa; células endocervicais reativas.
Lesão intraepitelial escamosa de baixo grau.
Lesão intraepitelial escamosa de alto grau.
Atipias de células glandulares.
Células endometriais.
Olá, para continuar, precisamos criar uma conta! É rápido e grátis.