Magna Concursos
1949655 Ano: 2020
Disciplina: Medicina
Banca: VUNESP
Orgão: Pref. Morro Agudo-SP
Provas:

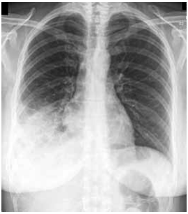
Homem, 70 anos, hipertenso de longa data, apresenta tosse com expectoração abundante e amarelada, e febre de 38 graus há 4 dias. Faz uso de anlodipina e enalapril e não teve internação hospitalar recente. Exame físico: regular estado geral, consciente e orientado, taquipneico (FR = 32 ipm), pressão arterial = 80x50 mmHg, frequência cardíaca = 118 bpm, SpO2 = 91% em ar ambiente. A ausculta pulmonar revela estertores crepitantes em base do hemitórax direito, com alguns roncos de transmissão.

A radiografia de tórax está ilustrada a seguir.

enunciado 628986-1

Após a internação hospitalar e a adoção de medidas de cuidados gerais, o esquema de terapia antibiótica deve ser

 

Provas

Questão presente nas seguintes provas

Médico - Clínica Geral

60 Questões