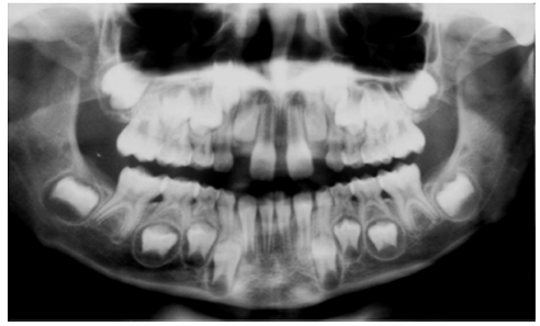
Em relação à imagem, assinale a alternativa que contém a afirmativa CORRETA.

(Fonte: FORMIGA FILHO, A. L. N. Interpretação radiográfica de lesões nos maxilares por alunos de odontologia da UFPB. Trabalho de conclusão de curso. UFPR. João Pessoa, 2009)