Magna Concursos
2129481 Ano: 2021
Disciplina: Medicina
Banca: UNICAMP
Orgão: UNICAMP

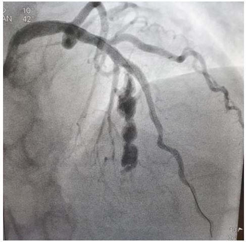
Mulher de 67 anos hipertensa e dislipidemia procurou atendimento médico com dor torácica de forte intensidade com duração há 2 horas. ECG de admissão revelou supra ST na parede anterior. Foi submetida a angioplastia primária. O controle após a angioplastia é representado a seguir:

Enunciado 2129481-1

Qual é diagnóstico mais provável:

 

Provas

Questão presente nas seguintes provas