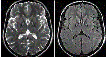
Paciente, sexo masculino, 29 anos de idade, apresenta quadro de parkinsonismo (ridigez em roda denteada e bradicinesia principalmente); distonia cervical; disartria e disfonia discretas; alteração comportamental com surtos psicóticos; retinopatia pigmentar; e, sinais de liberação piramidal ao exame físico neurológico. O quadro tem apresentado piora progressiva ao longo do tempo. Foi realizada a seguinte Ressonância de Crânio (RM de crânio); observe:

Assinale o provável diagnóstico desse paciente.