
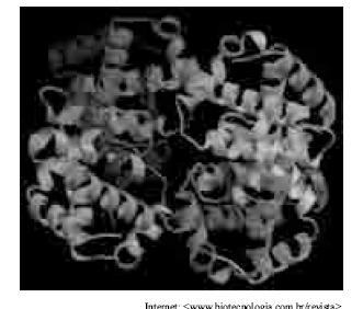
Considerando a figura acima e os diferentes níveis de organização estrutural de proteínas, julgue os seguintes itens.
A molécula representada na figura é rica em estruturas do tipo alfa-hélice.

Considerando a figura acima e os diferentes níveis de organização estrutural de proteínas, julgue os seguintes itens.
A molécula representada na figura é rica em estruturas do tipo alfa-hélice.