O texto a seguir refere-se à questão.
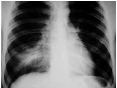
Mulher de 46 anos de idade, previamente hígida, há 3 dias queixava-se de tosse, febre, dispnéia e expectoração amarelada, resolvendo procurar o pronto-socorro. Ela negou etilismo ou tabagismo. Ao exame físico: corada, hidratada e febril (38,1 ºC); PA: 110 x 70 mmHg, FC: 96 bpm, saturação de oxigênio: 94% e frequência respiratória: 20 ipm; ausculta pulmonar: crepitações no terço médio de hemitórax direito. Cardíaco e abdome: normais. Radiografia de tórax: mostrada a seguir.

Em relação à conduta inicial, assinale a alternativa correta.