
Disponível em: < http://files.bvs.br >. Acesso em: 10 jan. 2021.
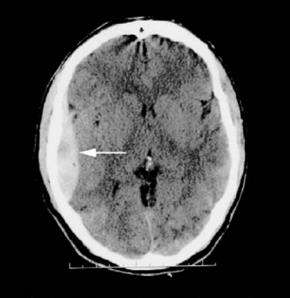
Os hematomas peridurais, conforme observado na imagem, são relativamente incomuns, presentes apenas em 1% dos casos de traumatismo cranioencefálico (TCE), e apenas 10% apresentam rebaixamento do nível de consciência. Quanto aos hematomas peridurais, assinale a alternativa correta.