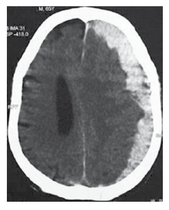
Homem de 72 anos chega ao pronto-socorro com náuseas, vômitos e cefaleia nas últimas 36 horas. O familiar relata quadro de irritação e esquecimento nas últimas duas 2 semanas. Ele leva um estilo de vida ativo, mas sofreu um acidente de bicicleta há 2 semanas. O histórico é notável para angina estável e hipertensão arterial. Ele bebe há 30 anos, quase que diariamente (cerca de 2 copos de uísque). Ao exame físico: ele está desorientado para o tempo, lugar ou pessoa; pressão arterial: 170 x 100 mmHg; reflexos tendinosos profundos: 4+/4 em hemicorpo esquerdo e 2+/4 à direita; Babinski positivo à esquerda. A tomografia sem contraste é mostrada a seguir

Considerando a principal hipótese diagnóstica, a conduta inicial correta é