3345094
Ano: 2024
Disciplina: Odontologia
Banca: Consulplan
Orgão: Pref. Santa Maria Jetibá-ES
Disciplina: Odontologia
Banca: Consulplan
Orgão: Pref. Santa Maria Jetibá-ES
Provas:
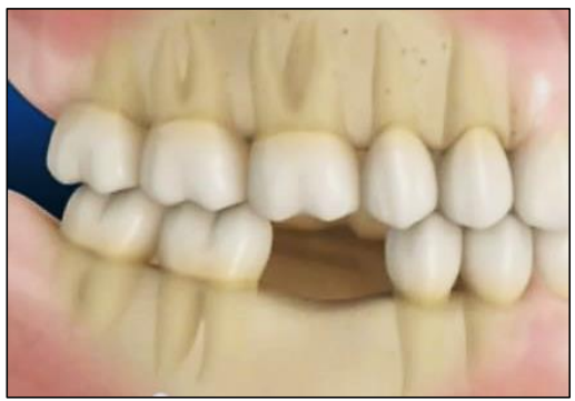
Observe a imagem a seguir:

(Robinson & Bird, 2021.)
De acordo com o sistema de notação dentária ISO/FDI, o dente que está faltando se refere ao: