Magna Concursos
2173397 Ano: 2021
Disciplina: Medicina
Banca: VUNESP
Orgão: EsFCEx

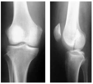
Considere a radiografia:

Enunciado 2173397-1

A fratura do porção distal do fêmur apresentada nessa radiografia é classificada pela AO:

 

Provas

Questão presente nas seguintes provas