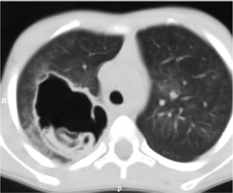
Determinado paciente de 49 anos de idade, morador em zona rural, iniciou com quadro de tosse importante, com piora progressiva, de início há dois meses, associada a alguns episódios de vômica. Refere febrículas na última semana. O paciente é tabagista leve, trabalha com criação de ovelhas e mora em casa com cachorros e gatos. Nega viagens internacionais recentes. Não foi encontrada nenhuma alteração no exame físico. Verificaram-se FC = 80 bpm, FR = 20 irpm e SatO2 = 99% em ar ambiente. A tomografia de tórax apresenta uma lesão cística de paredes espessas e conteúdo heterogêneo em seu interior, conforme representado na imagem a seguir.

Acervo Pessoal
Tendo em vista esse caso clínico e os conhecimentos médicos correlatos, julgue os itens a seguir.
A doença que o paciente apresenta é uma parasitose causada pelo Echinococcus.