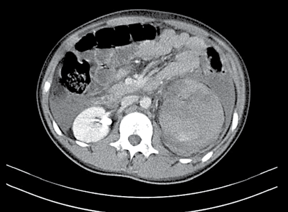
Paciente, vítima de acidente de moto, atendido pelo SAMU, chegou ao pronto-socorro de hospital terciário, consciente, queixando-se de dor na região lombar e flanco esquerdo. Tinha recebido previamente 1 000 mL de Ringer-lactato. Ao exame, mucosas pouco descoradas, sem cianose, PA: 130/80 mm/Hg, FC: 96/min., rítmico. Abdome não distendido, doloroso no flanco e região lombar esquerda com hematoma superficial e escoriações no local. A sondagem vesical realizada sem dificuldades apresentou 150 mL de urina “concentrada”. Permaneceu em observação e, devido às condições hemodinâmicas estáveis foi submetido à tomografia computorizada abdominal.

Diante da imagem apresentada e do contexto anterior, pode- se afirmar que se trata de: