Magna Concursos
925223 Ano: 2012
Disciplina: Medicina
Banca: VUNESP
Orgão: PM-SP

Leia o caso clínico a seguir e responda às questões de números 17 a 21.


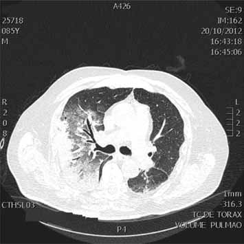
Considere um paciente do sexo masculino, 85 anos, com antecedentes de fibrilação atrial crônica, doença pulmonar obstrutiva crônica e hidrocefalia de pressão normal com implante de derivação ventriculoperitoneal (DVP) há 1 ano, após episódio de alteração progressiva da marcha e confusão mental à época. Não apresentava outros antecedentes ou alterações laboratoriais e fazia uso apenas de broncodilatador associado com corticoide inalatório. Familiares relatam que, há cerca de 15 dias, o paciente apresentou forte quadro gripal, queda do estado geral, prostração e episódios de engasgos frequentes, com alimentos líquidos. Há 2 dias passou a apresentar tosse produtiva com expectoração esverdeada, febre de 38 graus e piora da adinamia com inapetência acentuada, deixando inclusive de ingerir líquidos. Foi trazido ao pronto-atendimento em mau estado geral, sonolento, taquipneico com respiração superficial, desidratado e com leve cianose de extremidades. Sua pressão arterial era de 120x60 mmHg, FC = 120 bpm, T = 37,5 graus. A ausculta pulmonar evidenciava tempo expiratório prolongado e sibilos ins e expiratórios. Ausculta cardíaca com ritmo irregular e ausência de sopros. Sem outras alterações ao exame físico. Foi submetido a um exame de tomografia do tórax e um dos cortes tomográficos encontra-se ilustrado a seguir.


enunciado 925223-1

O resultado da gasometria arterial colhida desse paciente provavelmente mostrará:

 

Provas

Questão presente nas seguintes provas