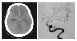
Uma mulher de 66 anos foi admitida na emergência com hemorragia subaracnoidea (HSA) aneurismática aguda e submetida a um procedimento de clipagem, permanecendo em UTI no pós-operatório. No décimo dia após o procedimento, ela começou a apresentar fala arrastada, com piora na inclinação facial para a direita e fraqueza no braço direito. Ela também estava bastante sonolenta, com muita dificuldade para despertar. Foram realizadas tomografia computadorizada de crânio sem contraste e angiografia, mostradas a seguir. Qual alternativa apresenta o melhor tratamento para o caso?
