Paciente de 66 anos do sexo feminino com antecedente de hipertensão, AVC hemorrágico há 2 anos sem sequelas, e arritmia, sem seguimento médico adequado, fazendo uso irregular de captopril. Além disso, apresentou traumatismo craniano leve na semana passada, sem maiores repercussões.
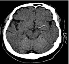
Procura pronto-socorro com queixa de déficit neurológico agudo, com aparecimento há 40 minutos. À admissão, exibe PA 150x92, FC 77, FR 18, SatO2 96% a.a., glicemia capilar de 90mg/dL. Ao exame neurológico, apresenta hemiplegia à direita, afasia global e paralisia facial de padrão central, com NIHSS = 15. Realizada TC de crânio, abaixo:

Neste momento, a conduta mais adequada para essa paciente seria