
Disponível em: <http://www.radiopaedia.org/>. Acesso em: 20 maio 2018.
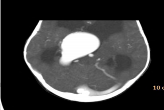
Um lactente de 3 meses de vida é encaminhado para atendimento em razão de aumento do perímetro cefálico (PC). A mãe não havia realizado pré-natal, mas nega uso de substâncias ou processos infecciosos durante a gestação. A criança foi encaminhada para avaliação cardiológica em razão de sopro cardíaco. Ao exame, percebe-se taquipneia leve, PC superior a 2 desvios-padrão, ausência de dismorfismos faciais e fontanela anterior aberta e abaulada. Tônus e trofismo estão preservados, e o paciente eleva os quatro membros contra a gravidade e tem reflexos normoativos. A tomografia de crânio é apresentada na figura. A respeito das informações apresentadas, qual é o diagnóstico para esse paciente?