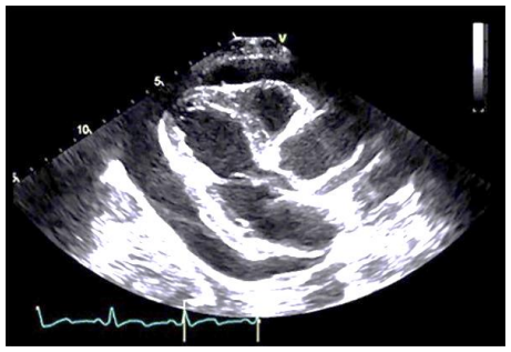
Homem de 78 anos, 75kg e 1,70m, hipertenso e diabético, se apresenta na emergência cardiológica com dor torácica forte, sendo indicada cineangiocoronariografia. Exames laboratoriais evidenciaram ureia de 200mg/dL-1, creatinina de 3,2mg/dL-1, potássio de 5,5mEq/L-1 e hemoglobina de 9,2g/dL-1. O ecocardiograma revela a seguinte imagem:

Durante o transporte para a radioscopia, o paciente evoluiu com baixa da consciência, sudorese e hipotensão arterial. O uso de vasopressores não melhorou a situação cardiovascular. Diante desse quadro, a conduta a ser tomada deve ser: