Magna Concursos
3207545 Ano: 2018
Disciplina: Biologia
Banca: UFRJ
Orgão: UFRJ

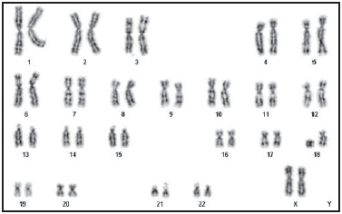
A figura a seguir mostra o cariograma observado em células de sangue periférico.

Enunciado 3207545-1

A nomenclatura correta, de acordo com os critérios do International System for Human Cytogenetic Nomenclature (ISCN), é:

 

Provas

Questão presente nas seguintes provas

Tecnólogo - Biologia Genética

60 Questões