Atenção! O caso clínico a seguir refere-se à próxima questão.
Paciente de 19 anos, do sexo masculino, com relato de colisão
bicicleta x ônibus, com traumatismo cranioencefálico exclusivo,
com Glasgow 3 na cena e necessidade de intubação orotraqueal.
Deu entrada na sala de trauma, onde foi estabilizado e então
submetido a tomografia de corpo inteiro. Houve diversas
alterações apenas na tomografia de crânio – restante do exame de
imagem normal. Em seguida, levado ao centro cirúrgico, onde foi
submetido a passagem de dispositivo de monitorização de pressão
intracraniana (PIC) intraventricular. Após tal procedimento, foi
transferido à UTI. Dá entrada em mau estado geral, Glasgow 3T,
RASS -5 e com pupilas isomióticas, em uso de propofol 250mg/h,
fentanil 25mcg/h, intubado sob ventilação mecânica em
parâmetros baixos e sem drogas vasoativas.
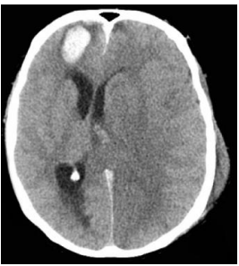
Analise a tomografia de crânio a seguir.

A partir da análise da imagem acima, é correto afirmar que o escore de Marshall vale: