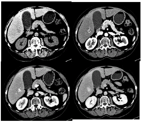
Mulher de 33 anos, em uso de anticoncepcional oral há 18 anos, realiza tomografia em investigação de dor abdominal, que evidenciou o nódulo hepático mostrado na imagem a seguir:

Qual é a melhor conduta?
Provas
Questão presente nas seguintes provas
Residência Médica - s Básicas e Acesso Direto
100 Questões