Magna Concursos
1365728 Ano: 2019
Disciplina: Medicina
Banca: IBFC
Orgão: PM-BA
Paciente do sexo feminino, 65 anos, com antecedente de hipertensão arterial, tabagismo, diabética e com histórico familiar de doença arterial coronariana. Vem em consulta ambulatorial com histórico de angina de início há 6 meses, atualmente aos moderados esforços, CCS II (Canadian Cardiovascular Society), sem dispneia ou demais queixas. Em uso ambulatorial de aspirina 100mg ao dia, atorvastatina 40mg ao dia, metformina 850mg 3x ao dia, enalapril 20mg 2x ao dia e anlodipino 10mg ao dia. Exames laboratoriais revelam: LDL colesterol de 88 mg/dl, HDL colesterol de 51 mg/dl, triglicérides de 177 mg/dl, glicemia de jejum de 140 mg/dl e hemoglobina glicada de 7,4%. Ao exame físico, Pressão arterial de 150/70 mmHg, frequência cardíaca de 79 batimentos por minuto. Demais sem alterações.
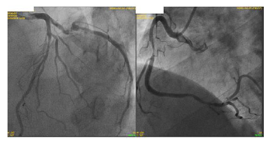
Durante a investigação, a paciente apresentou piora da angina, atualmente em CCS III e manteve-se refratária às medicações. Realizou o cateterismo (imagem abaixo).
Enunciado 1365728-1
Analise as afirmativas abaixo:
I. Paciente apresenta lesão grave em artéria coronária direita e a revascularização percutânea dessa lesão pode ser realizada visando melhora de sintomas.
II. Paciente apresenta lesão em artéria coronária descendente anterior. O uso de métodos fisiológicos, como reserva de fluxo coronário (FFR) pode ser indicado para melhor avaliação e caso FFR menor que 0,8 a revascularização está indicado.
III. Em situações de lesões triarteriais, com acometimento de coronária descendente anterior (DA) em porção proximal, há indicação de revascularização. Deve-se calcular o Synthax escore e caso ele for maior que 32, há indicação de revascularização percutânea (via hemodinâmica) e caso menor que 32, há indicação de revascularização cirúrgica.
IV. Independente do tipo de revascularização a ser indicada (percutânea ou cirúrgica), o paciente deve receber dupla antiagregação plaquetária por 1 ano, com indicação Classe IA de diretrizes.
Assinale a alternativa correta.
 

Provas

Questão presente nas seguintes provas