- Anatomia Dentária e Oclusão
- DentísticaLesões Não-Cariosas
- Odontologia Pré-Clínica
- Patologia Oral e MaxilofacialCistos e Tumores
- Patologia Oral e MaxilofacialAnomalias Dentárias e de Tecidos Moles
- Patologia Oral e MaxilofacialDoenças Ósseas
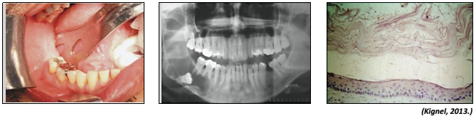
Observe as imagens a seguir referentes à mesma lesão.
Trata-se de um cisto com critérios histológicos bem definidos, com alta taxa de recidiva. Origina-se a partir de remanescentes da lâmina dentária. Geralmente possui comportamento benigno, porém agressivo. Apresenta-se em qualquer idade, com maior incidência entre a 2 e 3 décadas de vida, raramente abaixo dos 10 anos de idade. A mandíbula é invariavelmente mais afetada que a maxila. Sua tendência de crescimento é ocupar os espaços medulares gerando pouca expansão óssea. As informações se referem ao cisto: