Magna Concursos
2987351 Ano: 2023
Disciplina: Odontologia
Banca: Consulplan
Orgão: Pref. Nova Friburgo-RJ
Provas:
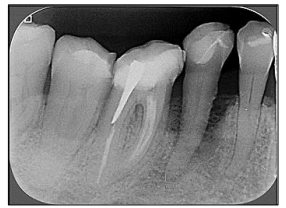
Observe a imagem radiográfica a seguir:

Enunciado 2987351-1

(Mallya, Sanjay M. White & Pharoah Radiologia Oral – Princípios e Interpretação.)

Em qual dos dentes foi realizado um tratamento endodôntico?
 

Provas

Questão presente nas seguintes provas

Auxiliar de Saúde Bucal

50 Questões