Magna Concursos
2264136 Ano: 2022
Disciplina: Medicina
Banca: IBFC
Orgão: SES-DF

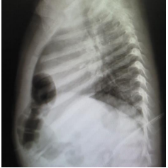
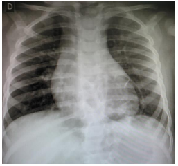
Menina de 1 ano apresenta tosse e coriza nasal hialina há 5 dias, sem febre. Exame físico: bom estado geral, frequência cardíaca de 120 bpm, frequência respiratória de 38 irpm, murmúrios vesiculares presentes e simétricos, com roncos transmitidos de vias aéreas superiores difusos. Antecedentes pessoais: 2 episódios de pneumonias tratadas ambulatorialmente, com 6 meses e 9 meses de idade. Raio x de tórax: imagens a seguir:

Enunciado 3405859-1

Enunciado 3405859-2

Assinale a alternativa que apresenta a principal hipótese diagnóstica.

 

Provas

Questão presente nas seguintes provas

Médico - Cirurgia Pediátrica

100 Questões