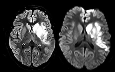
Paciente do sexo feminino, 9 anos, apresentou quadro súbito de dificuldade de fala e fraqueza à direita há 1 dia. Ao exame, apresenta afasia de expressão e hemiparesia à direita. Realizou a ressonância de crânio mostrada a seguir.

O diagnóstico é
Paciente do sexo feminino, 9 anos, apresentou quadro súbito de dificuldade de fala e fraqueza à direita há 1 dia. Ao exame, apresenta afasia de expressão e hemiparesia à direita. Realizou a ressonância de crânio mostrada a seguir.

O diagnóstico é