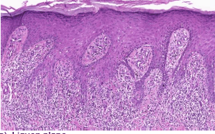
Homem, 39 anos, com relato de lesões placas violáceas nos membros inferiores. Assinale a alternativa que apresenta o diagnóstico que a figura abaixo ilustra.

Homem, 39 anos, com relato de lesões placas violáceas nos membros inferiores. Assinale a alternativa que apresenta o diagnóstico que a figura abaixo ilustra.
